科研进展

当前位置:首页 > 科学研究 > 科研进展

强磁场中心建成亚太地区首个9.4T大口径动物磁共振成像研究平台

可提供高分辨率大型哺乳动物成像研究服务

作者:吴云发布时间:2013-06-07【打印】【关闭】

  近期,中科院强磁场中心建成大型超导磁共振成像系统,该系统是亚太地区第一台磁体强度为9.4T、磁体口径为 400mm的大型哺乳动物高场磁共振成像系统,各项技术指标都达国际先进水平。目前,该系统的一系列相关设备,包括谱仪、梯度水冷机组、射频功放、梯度功放、操作系统软件等全部到位。

  以该系统为核心建立的磁共振成像实验室及配套的实验动物室,是国内首个一体化的磁共振成像-动物实验研究平台,同时也是国内首个达到万级清洁标准的磁共振成像实验室。在该平台上将开展大型哺乳动物的高分辨率组织结构磁共振成像、磁共振分子影像、高场下的磁共振成像技术、围绕动物模型的病理学及临床药理学等综合性研究。

  磁共振成像研究与强磁场中心其他生命科学研究方向,如蛋白质结构生物学、药学等的研究组成了一系列交叉承接的关系,对临床医学和生命科学研究具有重要意义。未来,实验室将与来自于生物成像、认知神经科学、临床医学等重要科学领域的专家、学者开展广泛的学术交流和学术合作。

  磁共振成像研究团队人员在磁共振成像技术、临床应用、磁共振成像造影剂、实验动物病例模型等方面具有很好的学术背景。实验室负责人钟凯研究员具有丰富的高场磁共振成像研究的经验,在磁共振成像技术、功能磁共振成像、系统软硬件、磁共振临床研究等方面具有扎实的背景和深入的工作。

大型超导磁共振成像系统

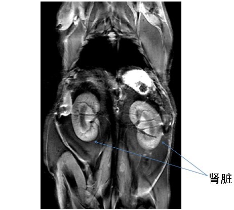
高脂饮食小鼠的脂肪抑制肾脏高分辨率MR图像

 

附件下载