科研进展

当前位置:首页 > 科学研究 > 科研进展

强磁场中心在多发性原发性肿瘤研究中取得新进展

作者:李红发布时间:2019-06-06【打印】【关闭】
  强磁场中心林文楚研究员课题组与中国科技大学附属第一医院合作在多发性原发性肿瘤研究领域取得新进展,相关研究成果以Germline mutation and aberrant transcripts of WWOX in a syndrome with multiple primary tumors为题,在线发表于国际病理学知名学术期刊The Journal of Pathology 。
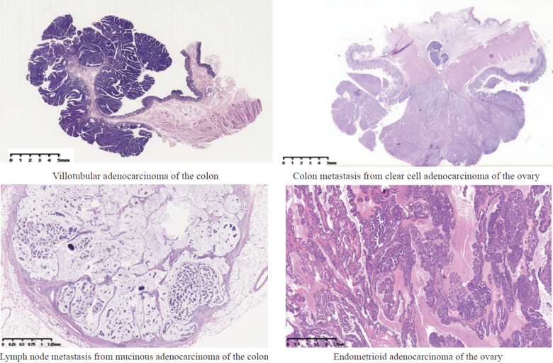
  多发性原发性肿瘤是指在单个患者的同一器官或不同器官中存在两个或多个独立的原发性肿瘤。多发性原发性肿瘤发生的潜在遗传原因在很大程度上尚不清楚。该研究报告了一个罕见的多发性原发性肿瘤病例,在一名26岁的中国女性的多个器官发现肿瘤和息肉,病理学分析证实该患者的肿瘤存在四种不同的组织学癌症类型,分别是绒毛膜腺瘤、透明细胞腺瘤、粘液腺瘤和子宫内膜样腺瘤。基于高通量测序技术的全外显子测序确定该患者存在一个编码DNA修复相关酶的基因-WWOX(含WW结构域的氧化还原酶)的纯合子胚系插入突变,并含有HRAS、BRCA2、SMAD4、CHEK2和AKT1基因的体细胞致病性突变。通过分子生物学手段发现在该患者的正常结肠组织存在多个WWOX转录产物,包括一个正常的全长WWOX转录产物、一个外显子5到8的缺失转录产物(已有报道)和四个新的外显子缺失的WWOX转录产物。
  这是第一个报告早期多发性原发性肿瘤患者WWOX基因异常的研究。该发现表明DNA修复缺陷可能是促进此类多发性原发性肿瘤形成的原因。
  中国科技大学附属第一医院病理科的徐傲和强磁场科学中心的王伟是文章的共同第一作者。强磁场科学中心的林文楚研究员、强磁场科学中心和医学物理中心的洪波副研究员为文章的共同通讯作者。

 

  患者肿瘤存在四种不同的组织学癌症类型

 

  WWOX基因胚系纯合突变导致多个异常转录产物

附件下载