重器巨帙, 融合开放。
董铺湖畔, 蜀山之侧, 以科学为名, 立创新高地。
博学之,审问之, 慎思之,明辨之, 笃行之。
与强者为伍, 与智者同行。 科学岛欢迎您!
海纳百川, 有容乃大。
组织是“形”,思想是“魂”。
传播科学知识, 弘扬科学精神。
及时公开, 准确公开, 合规公开。
近日,等离子体所边界诊断组在研究边界三维磁拓扑结构对边界湍流输运的作用方面取得新进展。研究发现在磁岛偏滤器位形中刮削层磁岛区存在两种典型的径向湍流输运模式,分别为宽谱湍流和低频湍流,且磁拓扑结构对湍流输运有显著影响,...
近期,固体所伍志鲲研究员与中国科学技术大学杨金龙教授等合作,在金纳米团簇合成以及结构与荧光性能关联研究方面取得新进展,相关工作以Fcc versus Non-fcc Structural Isomerism of Gold Nanoparticles with Kernel Atom Packing De...
近日,医学物理与技术中心医用激光技术研究室江海河研究员课题组在高转换效率、宽调谐脉冲中红外参量振荡激光技术方面取得新突破,相关研究成果以High-conversion-efficiency tunable mid-infrared BaGa4Se7 optical parametric oscil...
近日,中科院核能安全技术研究所研究团队在先进核能软件方面的研究取得新进展,“数字社会环境下的虚拟核电站Virtual4DS”研发成果以封面文章的形式发表在能源领域国际期刊International Journal of Energy Research上。Virtual4DS是...
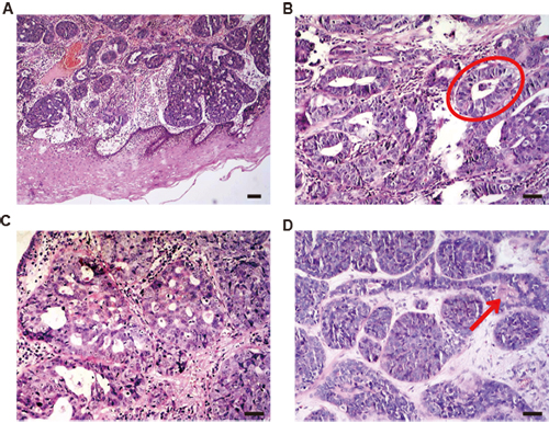
近期,医学物理中心分子病理研究室在肿瘤精准诊断研究方面取得进展,发展了传统组织学形态结合新型免疫标志物相结合的新技术方法,实现了食管罕见恶性肿瘤-食管腺样囊性癌的精准诊断,研究结果发表在International Journal of Clinica...